Noticias | 28 jun. 2022
ME TENGO QUE HACER UN ELECTROCARDIOGRAMA Y ECOCARDIOGRAMA DOPPLER COLOR
ELECTROCARDIOGRAMA
El electrocardiograma es uno de los estudios complementarios más utilizados en cardiología. Consiste en registrar en papel ó digitalmente la actividad eléctrica del corazón. Esto se logra a través de cables conectados a lugares específicos de los brazos, las piernas y el tórax. De este modo se registra un trazado que refleja el ritmo cardíaco y la característica de los “complejos” eléctricos de las aurículas y ventrículos, ayudando al médico al diagnóstico de diferentes patologías cardiovasculares.
Es importante destacar que un electrocardiograma normal no descarta enfermedades cardiovasculares, ya que simplemente es un reflejo de la situación del corazón en ese momento, por lo que muchas condiciones que se presentan en forma transitoria pueden no detectarse. Por otro lado, hay patologías que no se manifiestan en el electrocardiograma.
El estudio dura escasos minutos y debe ser interpretado por un profesional.

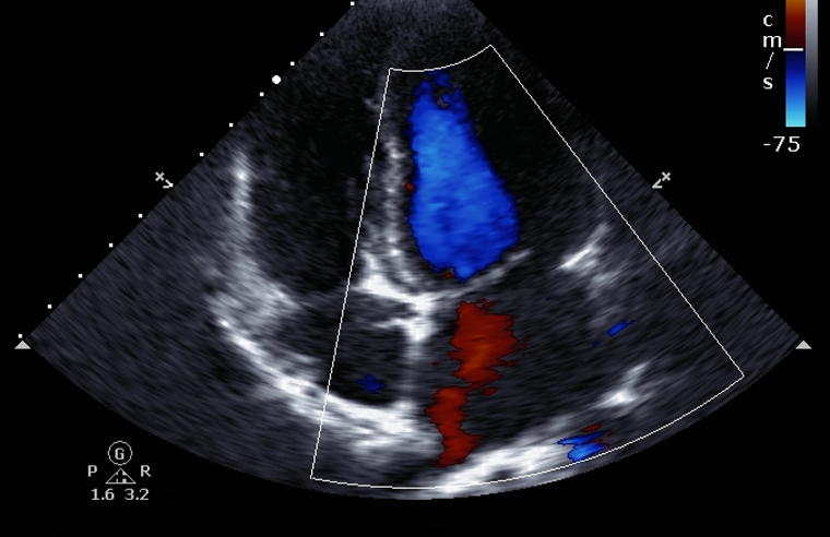
¿Qué es un Ecocardiograma Doppler Color?
El ecocardiograma Doppler es otro de los estudios del corazón más frecuentes.
Este examen permite valorar las cavidades del corazón y las válvulas cardíacas principalmente. Se miden tamaños de las estructuras, el movimiento de las paredes del corazón y como la sangre atraviesa cada una de las válvulas.
Justamente “Doppler color” es el método que permite evaluar la sangre en el corazón y vasos (arterias y venas) en el cuerpo.
¿Usa radiación este estudio?
El ecocardiograma -generalmente más conocido como ecografía- como todos los estudios que se realizan utilizando ultrasonido no usan radiación; usan ondas de sonido de muy alta frecuencia que no pueden ser oídas por el ser humano. Estas ondas son emitidas por una parte del equipo de ecocardiografía (transductor), luego estas ondas se reflejan en la parte del cuerpo estudiada y vuelven al transductor permitiendo la creación de imágenes en la pantalla del equipo.
